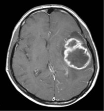
Gliom
Was ist ein Gliom?
Gliome entwickeln sich aus den Stützzellen des Gehirns. Diese Zellen werden Gliazellen genannt. Von den unterschiedlichen Arten dieser Gliazellen leiten sich die Arten der Gliome ab. Es gehören z. B. Astrozytome, Oligodendrogliome oder Ependymome dazu. Astrozytome sind die häufigsten Tumore.
Die aggressivste Form des Glioms ist das Glioblastom (Glioblastoma multiforme). Es wächst schnell und infiltriert das umgebende gesunde Hirn.
Die Gliome werden von der Weltgesundheitsorganisation WHO im Hinblick auf ihre feingewebliche Struktur und ihr Wachstumsverhalten in 4 Grade (WHO I bis IV) eingeteilt.
Wann und wie häufig treten Gliome auf?
Gliome sind die häufigsten Hirntumore. Die Häufigkeit und das Lebensalter, in dem ein Gliom auftritt, variieren je nach Art des Glioms.
Welche Symptome und Beschwerden verursacht ein Gliom?
Die Art der Beschwerden hängt von der Lage im Gehirn ab. Typisch sind: Kopfschmerzen, Erbrechen, Krampfanfälle, Lähmungserscheinungen (Halbseitenlähmung/Hemiparese), Sprachstörungen, Sehstörungen und Hirnleistungsstörungen wie Gedächtnis-, Konzentrationsstörungen o.ä. .
Welche Therapiemöglichkeiten gibt es?
Bei vielen Gliomen ist ein operativer, neurochirurgischer Eingriff notwendig, oft ergänzt durch Strahlentherapie und Chemotherapie. Um ein erneutes Wachstum des Tumors zu verhindern, wird eine adjuvante Behandlung durch Chemo- und/oder Strahlentherapie durchgeführt.
Klinik für Neurochirurgie
im Neurozentrum
Breisacher Straße 64
D-79106 Freiburg
Telefon: 0761 270-50010 /-50020
Telefax: 0761 270-50240
neurochirurgie@uniklinik-freiburg.de
Prof. Dr. Jürgen Beck
Ärztlicher Direktor
Telefon: 0761 270-50060
International call: +49-761-270-50060
j.beck@uniklinik-freiburg.de

André Doherr
Pflegedienstleiter
Telefon 0761 270-52260
Telefax 0761 270-54200
andre.doherr@uniklinik-freiburg.de

Christian Böke
Kaufmännische Geschäftsführung Neurozentrum
Telefon: +49 761 270-21071
christian.boeke@uniklinik-freiburg.de


