MRT / MRI
Die MagnetresonanztomographieFür dieses bildgebende Verfahren gibt es mehrere synonym verwendete Bezeichnungen. MRT steht für Magnetresonanztomographie, MRI ist die Abkürzung der englischen Bezeichnung Magnetic Resonance Imaging. Auch der Begriff "Kernspintomographie" meint dasselbe.
Die MRT ist eines der modernsten bildgebenden Verfahren und wird auch zur Diagnostik von Hirntumoren eingesetzt. Die erzeugten Schnittbilder erlauben eine genaue Feststellung der Lage und der Ausdehnung des Hirntumors. Die MRT erzeugt diese Bilder nicht durch Röntgenstrahlen, wie die Computertomographie (CT), sondern durch ein Magnetfeld und Radiowellen. Die Magnetresonanztomographie ist ein nicht-invasives und schmerzloses Verfahren, es dauert i. d. R. länger als eine CT. Mit der MRT werden nicht nur Bilder für die Diagnose erstellt, sondern auch für die Vorbereitung und Steuerung von neurochirurgischen Eingriffen.
Wie läuft die Untersuchung mit einem Magnetresonanztomographen / MRT ab?
Der Patient wird liegend in eine enge Röhre geschoben. Wichtig ist, dass er möglichst bewegungslos verharrt. Da die MRT mit Hilfe von Magnetfeldern arbeitet, sollten alle metallischen und elektrischen Gegenstände vor der Untersuchung abgelegt werden. Während der Untersuchung entsteht in der MRT-Röhre ein Klopfgeräusch, das aber durch das Tragen des bereitgestellten Gehörschutzes gemildert wird. In manchen Fällen ist die Gabe eines Kontrastmittels nötig. In diesem Falle kann es notwendig sein, dass der Patient einige Stunden zuvor nüchtern bleibt. Über einen Klingelknopf und eine Gegensprechanlage kann sich der Patient jederzeit mit dem Untersuchungspersonal in Verbindung setzen.
Patienten mit Platzangst sollten das vorher mit ihrem Arzt besprechen, ebenso Patienten mit Herzschrittmachern, Nervenstimulatoren und ähnlichen Implantaten. Gleiches gilt für Patienten mit Gelenkprothesen, Metallsplittern usw. Zahnmetall stört normalerweise nicht.
Ihr Arzt und das Untersuchungspersonal beantworten gerne Ihre Fragen!
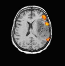
fMRT / fMRI - funktionelle Magnetresonanztomographie
Die funktionelle Magnetresonanztomographie (fMRT) ist auch unter ihrer englischen Bezeichnung functional magnetic resonance imaging (fMRI) bekannt. Es ist eine Weiterentwicklung der Magnetresonanztomographie (MRT), mit deren Hilfe Stoffwechselvorgänge im Gehirn erkannt werden können. Das Verfahren ist ebenfalls nicht-invasiv und schmerzlos. Die Bilder, die durch eine Untersuchung mit dem fMRT gewonnen werden, werden sowohl zur Diagnostik als auch zur Vorbereitung und während der Durchführung eines neurochirurgischen Eingriffs verwendet
Diffusions-MRT oder fiber tracking
Eine andere Erweiterung der MRT, die Diffusions-MRT oder das fiber tracking, misst die Beweglichkeit (Diffusion) von Wassermolekülen im Gewebe. Damit wiederum lassen sich Rückschlüsse auf Verlauf und Anordnung der Nervenfasern im Gehirn ziehen.
Mit dieser neuen Methode können nicht-invasiv und schmerzlos Nervenfasern, die weiße Substanz im Gehirn, 3-dimensional dargestellt werden - eine weitere Möglichkeit, um möglichst schonend am Gehirn zu operieren.
Klinik für Neurochirurgie
im Neurozentrum
Breisacher Straße 64
D-79106 Freiburg
Telefon: 0761 270-50010 /-50020
Telefax: 0761 270-50240
neurochirurgie@uniklinik-freiburg.de
Prof. Dr. Jürgen Beck
Ärztlicher Direktor
Telefon: 0761 270-50060
International call: +49-761-270-50060
j.beck@uniklinik-freiburg.de

André Doherr
Pflegedienstleiter
Telefon 0761 270-52260
Telefax 0761 270-54200
andre.doherr@uniklinik-freiburg.de

Christian Böke
Kaufmännische Geschäftsführung Neurozentrum
Telefon: +49 761 270-21071
christian.boeke@uniklinik-freiburg.de



