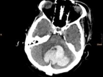
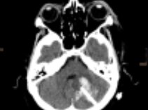
Intrazerebrale Blutung
Die intrazerebrale Blutung, also eine Blutung im Gehirn, tritt plötzlich auf und ist die schlimmste Form des Schlaganfalles.
Manchmal kann die Behandlung durch Evakuation mittels Operation oder Katheterpunktion mit Lysetherapie erfolgreich sein um die Stabilisierung des Patienten zu erreichen und um ein weiteres oder Nachbluten zu verhindern.
Wir bevorzugen – wenn notwendig und wenn möglich – die "bedside" Direktpunktion mittels Katheter und nachfolgende Lyse. Es ist eine minimal invasive, schnelle und effektive Behandlungsmethode.
Die Genesung des Patienten ist jedoch entscheidend abhängig von dem klinisch neurologischen Zustand des Patienten vor Behandlungsbeginn.
Bitte klicken Sie zur Vergrößerung auf das jeweilige Vorschaubild.

Dr. Christian Scheiwe
Oberarzt

Dr. Mukesch Shah, M.Sc.
Oberarzt
Sprechstunde
Vaskuläre Neurochirurgie



