Elektromagnetische Navigation
ThoraxchirurgieBronchoskopie und Elektromagnetische Navigation
Die Abklärung von kleinen und/oder peripher liegenden Lungenrundherden stellt eine besondere Herausforderung dar. Bei niedrigen Trefferquoten und häufig falsch negativen Befunden, mussten sich Patienten wiederholten Bronchoskopien oder alternativ dazu operativen/invasiven Eingriffen unterziehen. Das Verfahren der Elektromagnetischen Navigation ermöglicht den minimal-invasiven Zugang zu peripheren Lungenbereichen. Im Vorfeld einer normalen Bronchoskopie werden die CT-Daten des Patienten zur Planung der Untersuchung und zu deren Simulation verwendet. Dazu wird der Zielpunkt (Rundherd) markiert. Der Patient liegt während der Untersuchung in einem elektromagnetischen Feld. Über das Bronchoskop wird eine spezialisierte Sonde eingeführt, deren Spitze während der gesamten Untersuchung „live“ im elektromagnetischen Feld lokalisiert werden kann. Das System führt so den Untersucher und das Bronchoskop ähnlich einer GPS-Navigation zu den vorher festgelegten Zielpunkten. Dabei erhält der Untersucher eine laufende dreidimensionale Lokalisationsdarstellung und eine Entfernungsangabe zum Ziel, aus dem dann Gewebe zur Diagnostik entnommen werden kann. Auch die Markierung von kleinen Befunden z.B. mittels Goldmarkern ist möglich, so dass diese bei einer nachfolgenden Operation leichter gefunden und entfernt werden können Zukünftig wird es mithilfe der Elektromagnetischen Navigation aber auch möglich sein, kleine bösartige Lungenherde mit Wasserdampf oder Mikrowellen zu behandeln und damit dem Patienten eine Operation zu ersparen.

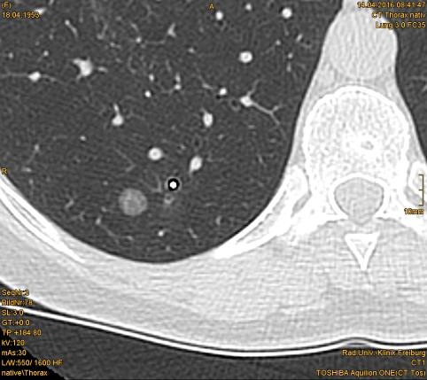
CT Thorax: Goldmarker platziert in unmittelbarer Nähe eines kleinen flauen Rundherdes im rechten Lungenunterlappen.

CT Thorax: Goldmarker platziert in unmittelbarer Nähe eines kleinen flauen Rundherdes im rechten Lungenunterlappen.
Klinik für Thoraxchirurgie
Hugstetter Straße 55
79106 Freiburg

Unsere Klinikbroschüre zum Herunterladen
Zertifikate




