Trichterbrust (Pectus excavatum)
ThoraxchirurgieAls Trichterbrust (Pectus excavatum) bezeichnet man eine Deformität des vorderen Brustkorbs, bei der durch Veränderungen der Knorpelverbindung zwischen Brustbein und Rippen das Brustbein auffällig nach innen steht wodurch die vordere Brustwand die Form eines Trichters annimmt.
Andere Erkrankungen wie Fehlstellungen der Wirbelsäule (Skoliose, Kyphose) oder das Marfan-Syndrom können mit einer Trichterbrust einhergehen, meist stellt die Trichterbrust jedoch ein isoliertes Problem dar.
Die genaue Ursache dieser angeborenen Erkrankung ist unklar. Die Trichterbrust tritt familiär gehäuft auf und betrifft häufiger Jungs als Mädchen. Während des Längenwachstums in der Pubertät kommt es oft zu einer Zunahme des Trichters.
Abb. 2: Röntgenseitaufnahme eines Patienten mit Trichterbrust. Die roten Pfeile zeigen die Position des unteren Brustbeins, welches auffällig nach innen verlagert ist.
Symptome
Die Trichterbrust als solche stellt meist kein gesundheitliches Risiko dar. Dennoch berichten Patienten mit Trichterbrust häufig über eine verminderte Leistungsfähigkeit, insbesondere bei körperlicher Anstrengung. Hierfür gibt es mehrere Gründe.
- Auswirkung auf das Herz: Je nach Ausprägung der Trichterbrust hat das dahinter liegende Herz weniger Platz. In Ruhe macht sich das nicht bemerkbar. Bei körperlicher Belastung, wie beispielsweise beim Fußball spielen, kann das Herz jedoch das Auswurfvolumen nicht dem Bedarf entsprechend steigern. Die Patienten spüren dann Atemnot und Herzrasen. Studien zeigen, dass durch eine Korrektur der Trichterbrust diese Einschränkung behoben werden kann.
- Auswirkung auf die Lunge: Häufig messen wir bei Patienten mit Trichterbrust in der Lungenfunktionsprüfung ein vermindertes Lungenvolumen, da der Lunge durch den engen Brustkorb nicht so viel Platz zur Verfügung steht. Diese sogenannte Restriktion spielt jedoch eine untergeordnete Rolle, da die Lungenreserven meist dennoch groß genug und die Patienten zuerst durch das eingeschränkte Auswurfvolumen des Herzens limitiert sind.
- Auswirkung auf die Seele: Patienten mit Trichterbrust fühlen sich häufig durch die Deformität in ihrem Selbstwertgefühl beeinträchtigt, was auch zu einer verminderten Leistungsfähigkeit führen kann. Ein weitere Folge der Deformität ist Vermeidungsverhalten (Bsp. Vermeiden von Schwimmbadbesuchen) bis hin zur schamhaften Kontaktarmut.
Diagnose
Die Diagnostik bei Trichterbrust hängt von der Ausprägung der Deformität sowie den Symptomen der Erkrankung ab. Neben der körperlichen Untersuchung und einer Bilddokumentation beim Klinikfotografen werden folgende apparative Untersuchungen eingesetzt:
- Atemmessung in Ruhe (Spirometrie): Die Spirometrie stellt die einfachste Methode zur Untersuchung der Lungenfunktion dar. Sie misst atemabhängige Volumenschwankungen. So lässt sich z.B. messen, wieviel Liter Luft ein Patient maximal ein- und ausatmen kann. Dieses Volumen nennt man Vitalkapazität. Sie ist bei Patienten mit Trichterbrust häufig erniedrigt.
- Atemmessung unter Belastung (Spiroergometrie): Bei der Spiroergometrie wird der Patient auf einem Standfahrrad einer konstant zunehmenden körperlichen Belastung ausgesetzt. Hierbei werden einige Messungen durchgeführt (Spirometrie, Blutgasanalysen, Herzfrequenz, Blutdruck, EKG, usw.). So bekommt man ein detailliertes Bild über die Leistungsreserven von Herz, Lunge und Muskulatur und es lässt sich eruieren, welches dieser Systeme für die Leistungsbegrenzung verantwortlich ist.
- Ultraschalluntersuchung des Herzens (Echokardiographie): Mit der Ultraschalluntersuchung des Herzens können mögliche funktionelle Beeinträchtigungen des Herzens, insbesondere der rechten Herzkammer untersucht werden. Da sich die Beschwerden bei Trichterbrust meist nur bei Belastung zeigen, kann ergänzend eine Stressechokardiographie durchgeführt werden. Dies ist eine Ultraschalluntersuchung des Herzens während körperlicher Belastung (auf dem Standfahrrad).
- Kernspintomographie (Magnetresonanztomographie) des Thorax: Ähnlich wie eine Computertomographie liefert die Kernspintomographie Schnittbilder des Körpers. Der Vorteil der Kernspintomograph ist, dass die Bilder durch ein Magnetfeld und nicht durch ionisierende Strahlen generiert werden. Die Schnittbilder werden einmal nach Einatmung und einmal nach Ausatmung aufgenommen und geben dann Auskunft über die Beweglichkeit des Brustkorbs sowie über die Auswirkung der Trichterbrust auf Lage und Anatomie des Herzens. Zudem erlauben die Schnittbilder die Berechnung des Haller-Index. Dieser errechnet sich wie folgt: Weitester Abstand zwischen rechten und linken Rippen, geteilt durch kleinsten Abstand zwischen Brustbein und Wirbelsäule. Je größer der Haller-Index, desto ausgeprägter die Trichterbrust. Bei Gesunden liegt der Haller-Index bei etwa 2,5.
Therapie
Zur Behandlung der Trichterbrust stehen verschiedene Therapien zur Verfügung. Die Krankengymnastik, die Saugglockenbehandlung und die Operation. Welche Therapie sinnvoll und notwendig ist hängt vom Patientenalter und Patientenwunsch sowie vom Schweregrad der Trichterbrust ab. Meist ergänzen sich die verschiedenen Therapiemöglichkeiten.
Krankengymnastik
Insbesondere während der Wachstumsphase in der Pubertät kann durch Krankengymnastik der Trichterbrust sowie einer häufig damit verbundenen Körperfehlhaltung entgegen gewirkt werden. Schlüssel zum Erfolg ist eine konsequente, tägliche Durchführung (morgens und abends für jeweils 10 Minuten). Ziel ist eine verbesserte Brustkorbausdehnung und Körperhaltung.
Folgende Übungen kommen zum Einsatz:
- Übung zur Stärkung des Rückens: Hände hinter Kopf verschränken, Finger ineinander. Ellenbogen so weit wie möglich nach hinten, Kopf und Hals gestreckt. Diese Haltung bringt den Brustkorb nach vorne. Beugung des weiterhin gestreckten Rumpfes in der Hüfte nach vorne. Position für 2-3sek. halten. Übung 25x/Tag. Diese Übung stärkt den Rücken und bringt Schultern nach hinten.
- Übung zur Stärkung der Brustmuskulatur: Rückenlage auf dem Boden, Arme ausgestreckt. Leichte Gewichte in beide Hände, dann gestreckte Arme über dem Brustkorb zusammenführen. Übung 25x/Tag.
- 25 Liegestützen/Tag
- Übung zur Weitung des Brustkorbs: Rücken gerade, Schultern nach hinten strecken. Maximal einatmen und Atem so lange wie möglich anhalten. Übung 2x20/Tag
- Ausdauersport: Regelmäßige körperliche Aktivität (Schwimmen, Joggen) hat ebenfalls einen positiven Einfluss auf die Brustkorbdeformität.
Saugglocke
Bei dieser Methode wird auf die Trichterbrust eine Saugglocke aus orthopädischem Silikon aufgesetzt und mit Hilfe eines Saugballs ein Unterdruck erzeugt, welcher den Brustkorb anhebt. Ähnlich dem Wirkungsprinzip einer Zahnspange kommt es bei täglicher Anwendung zu einer allmählichen Korrektur der Fehlstellung. Die Methode mit der Saugglocke findet insbesondere bei Kindern und Jugendlichen Anwendung, kann aber auch noch im Erwachsenenalter benutzt werden. Typische Anwendungszeiten sind 1 bis 3 Stunden täglich, bei Kindern auch kürzer. Der Effekt der Saugglocke ist in den ersten 3 Monaten am stärksten, ab dem 4. Monat beträgt die Trichterreduktion etwa 1 mm/Monat, eine tägliche Anwendung vorausgesetzt. Die Behandlungsdauer beträgt etwa 2 Jahre. Die Saugglocke kann sowohl im Sitzen und Liegen als auch bei körperlicher Aktivität und unter der Kleidung getragen werden. Nebenwirkungen sind selten und treten meist in Form von Hautirritationen und Brust- oder Rückenschmerzen auf. Leider werden häufig die Kosten der Saugglocke (aktuell 615,11 € inklusive MwSt. und Versandkosten) nicht von der Krankenkasse übernommen und müssen dann vom Patienten bzw. den Patienteneltern getragen werden.
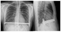
Abb. 5: Röntgenseit- und Röntgenfrontaufnahme eines Patienten nach minimal-invasiver Trichterbrustkorrektur. Der eingebrachte Metallbügel hält das Brustbein in der korrigierten Position.
Operation
Eine Brustkorbdeformität kann durch eine Operation korrigiert werden. Dies bietet sich an, falls eine schnelle Korrektur erwünscht oder notwendig ist, oder im Falle eines trotz konservativer Therapie nicht zufriedenstellenden Korrekturergebnisses. Viele verschiedene Operationsmethoden sind beschrieben, zusammenfassend lassen diese sich jedoch auf zwei unterschiedliche Vorgehensweisen reduzieren: Zum einen das offene chirurgisch Vorgehen und zum anderen das minimal invasive Verfahren.
- Minimal-invasive Trichterbrustkorrektur (nach Nuss): Die minimal-invasive Trichterbrustkorrektur nach Nuss ist mittlerweile die bei Trichterbrust am weitest verbreitete Operationsmethode. Idealer Operationszeitpunkt ist nach Abschluss des Längenwachstums, also in einem Alter zwischen 16 und 20 Jahren. Aber auch deutlich ältere Patienten können noch mit dieser Methode operiert werden. Bei der Operation wird mit Hilfe einer Brustkorbspiegelung ein U-förmiger, dem Brustkorb angepasster, kräftiger Bügel unter den Trichterboden des Brustbeins geschoben und seitlich an den Rippen fixiert. Das Brustbein wird durch den Bügel angehoben und in Normalstellung gehalten. Manchmal, insbesondere bei älteren Patienten, muss noch ein zweiter Bügel eingebracht werden. Ein entscheidender Vorteil dieser Methode ist, dass an Knochen und Knorpel selbst nicht operiert werden muss. Ein weiterer Vorteil ist, dass sich die Operationszugänge optisch weniger störend an der Seite des Brustkorbs befinden. Obwohl diese Operation minimal-invasiv durchgeführt wird ist meist eine längere und anfangs auch intensive Schmerztherapie zur Schmerzkontrolle erforderlich, da das Brustbein zurück in seine ursprüngliche Lage möchte und durch den kräftigen Bügel daran gehindert wird. Hinzu kommt, dass der Brustkorb aufgrund der Atembewegung ständig in Bewegung ist, so dass anfangs der Bügel gegen die Knochenhaut des Brustbeins reibt. Im Verlauf von Tagen bis Wochen nehmen diese Schmerzen meist kontinuierlich ab. Mit einem mehrtägigen Krankenhausaufenthalt und einer mehrwöchigen Arbeitsunfähigkeit muss allerdings gerechnet werden. 3 Jahre nach der Operation muss in einer zweiten Operation der Bügel wieder entfernt werde, der Brustkorb hat sich dann in aller Regel in der Normalstellung verfestigt. Die Bügelentfernung ist meist eine nur kleine und schmerzarme Operation und bedarf keiner langen Erholungsphase.
- Offene chirurgische Trichterbrustkorrektur (modifiziertes Ravitch-Verfahren): Ein offenes Vorgehen wird bei Patienten mit stark asymmetrischen Brustkorbdeformitäten angewandt, wenn das Einbringen eines Bügels unter das Brustbein für eine zufriedenstellende Korrektur nicht ausreichend wäre. In diesen Fällen wird der die Deformität verursachende Knorpel neben dem Brustbein durchtrennt, aufgerichtet und mit Nähten fixiert, so dass das Brustbein in Normalstellung gelangt. Auch bei dieser Methode werden zur Stabilisierung häufig Metallimplantate benutzt. Da der Druck vom Brustbein aber durch die Knorpelaufrichtung bereits genommen wurde kann das Metall bereits nach einem Jahr wieder entfernt werden.
- Kombiniertes Verfahren (minimal-invasive plus offen chirurgisch): In manchen Fällen ergänzen sich beide Operationsverfahren. Zum Beispiel kann nach Einbringen des Bügels der Rippenbogen auffällig hervorstehen. Hier kann durch eine zusätzliche offene Operation die Deformität weiter korrigiert werden.
Was sind die Risiken einer operativen Trichterbrustkorrektur?
Wie jede Operation birgt auch eine operative Trichterbrustkorrektur eine Vielzahl möglicher Komplikationen. Da bei vielen Patienten die Hauptmotivation für die Operation die kosmetische Korrektur ist, muss hierauf besonders hingewiesen werden. Das häufigste Problem nach minimal-invasiver Trichterbrustkorrektur sind die bereits erwähnten postoperativen Schmerzen, die nicht selten eine längere Einnahme von Schmerzmitteln erforderlich machen. Aus diesem Grund bekommen die Patienten bei uns unmittelbar vor Operationsbeginn einen sogenannten Periduralkatheter, welcher effektiv und nebenwirkungsarm die Schmerzen kontrollieren kann. Hinzuweisen ist auch auf die Möglichkeit von Wundheilungsstörungen, Infektionen oder auf eine allergische Reaktion auf das eingebrachte Metall. Gegebenenfalls kann eine vorzeitige Metallentfernung mit entsprechendem Korrekturverlust erforderlich sein. Schwere Komplikationen wie Organverletzungen, beispielsweise des Herzens, sind extrem selten. Hinzu kommen die allgemeinen Risiken einer Vollnarkose und einer Operation (Bsp. Blutung, Thrombose, Lungenembolie, etc.). Auch sollte erwähnt werden, dass nach einer minimal-invasiven Trichterbrustkorrektur durch den einliegenden Bügel eine effektive Herzdruckmassage nicht möglich ist. Vor jeder Operation findet noch mal ein ausführliches Gespräch über Durchführung und Risiken der Operation und der Narkose statt.
Wie geht es nach der Operation weiter?
Nach einer operativen Trichterbrustkorrektur sollten folgende Empfehlungen beachten werden:
1.- 6. Woche postoperativ:
- Vermeidung von Rotationsbewegungen im Oberkörper
- Kontinuierliche Reduktion und Entwöhnung der Schmerzmittel in Abhängigkeit der Schmerzintensität
- Entfernen der Fäden am 10. postoperativen Tag
- Unbegrenztes Gehen möglich
- Kein Sport
- In den ersten 2 Wochen die Arme nicht über den Kopf heben
- In den ersten 4 Wochen auf dem Rücken schlafen
6. – 12. Woche postoperativ:
- Weiterhin Vermeidung von Rotationsbewegungen im Oberkörper
- Beginn Krankengymnastik
- Langsame Steigerung der normalen Aktivitäten
- Autofahren ist bei Schmerzmittelfreiheit erlaubt
- Beginn von sportlichen Aktivitäten: Schwimmen, Joggen, Fahrradfahren, etc.
- Kein Heben von Lasten über 20 kg
- Kein Tragen von Rücksäcken oder Schulranzen
Ab der 12. Woche postoperativ:
- Normale körperliche Aktivität
- Uneingeschränkte sportliche Betätigung
- Tragen von schweren Rucksäcken erlaubt
- Fortführen der Krankengymnastik
- Keine Kontaktsportarten wie: Eishockey, Football, Boxen, Wrestling, Karate etc.
Eine ambulante Wiedervorstellung mit ggf. Röntgenkontrolle sollte eine Woche nach Entlassung, 4 Wochen nach Entlassung sowie 3 Monate und 1 Jahr nach der Operation erfolgen. Im Anschluss ist eine Vorstellung nur im Bedarfsfall erforderlich. Die Bügelentfernung nach minimal-invasiver Trichterbrustkorrektur erfolgt nach 3 Jahren mit vorheriger Röntgenkontrolle. Die Metallentfernung wird in Vollnarkose durchgeführt, wobei eine Periduralanästhesie für diesen Eingriff nicht erforderlich ist. Die ehemaligen Operationszugänge werden wiedereröffnet und anschließend das Metall entfernt.
Übernimmt meine Krankenkasse die Behandlungskosten?
Die Kosten für die Diagnostik bei Trichterbrust werden von den Krankenkassen übernommen. Ob dann auch die Behandlungskosten für die Trichterbrustkorrektur übernommen werden hängt im Wesentlichen vom Schweregrad der körperlichen Beeinträchtigung ab. Je ausgeprägter die Trichterbrust und je objektivierbarer die damit einhergehenden Beschwerden sind, desto eher übernimmt die Krankenkasse die Behandlungskosten. Bei einem rein kosmetisch motivierten Eingriff sind die Krankenkassen sehr zurückhaltend mit der Kostenübernahme. Bei starker psychischer Beeinträchtigung durch die Deformität muss eventuell ergänzend ein psychologisches Gutachten veranlasst werden.
Haben Sie noch Fragen?
Alle noch verbliebenen Fragen klären wir gerne mit Ihnen bei Ihrem Besuch in unserer Thoraxchirurgischen Ambulanz. Eine Terminvereinbarung ist meist kurzfristig möglich.
Terminvereinbarung unter: 0761 270-24580
Universitätsklinikum Freiburg
Thoraxchirurgische Ambulanz
Robert-Koch-Klinik
Sir-Hans-A.-Krebs-Straße
79106 Freiburg
Patienteninformation Trichterbrust
Krankengymnastische Übungen bei Trichterbrust
Nachbehandlung Trichterbrustoperation
Klinik für Thoraxchirurgie
Hugstetter Straße 55
79106 Freiburg

Unsere Klinikbroschüre zum Herunterladen
Zertifikate









